Novinar biroa Radija Slobodna Evropa u Sarajevu.
U procesu sudaranja s regolitima na površini Mjeseca, protoni vodika, koji se odbiju nazad u svemir, spajaju se s elektronima i stvaraju atom vodika
Ako ste korisnik Facebooka, Twittera ili neke druge društvene mreže, upravo vi biste mogli biti sljedeća žrtva internetske prevare
Prije sto godina, 21. septembra 1909. godine u Salzburgu mladi Albert Einstein prezentirao je prvi put javno svoju teoriju relativiteta objavljenu 1905.
Osnivači Googlea Sergey Brin i Larry Page, po izboru magazina T3, najutjecajniji su ljudi u svijetu tehnologije
Muslimani iz Velike Britanije morat će se vakcinisati protiv sezonske gripe ako žele putovati u Sadijsku Arabiju radi obavljanja hadža.
Znanstvenik koji je izumio stroj za detektiranje ozonske rupe poručuje da su tehnologije obnovljivih izvora energije još jedna novčana prevara
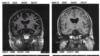
Naučnici u Velikoj Britaniji i Francuskoj kažu da su otkrili dva gena za koja vjeruju da su povezani s početkom Alzheimerove bolesti
Kina objavila da će pjesme koje budu postavljene na muzičke sajtove morati prvo da dobiju odobrenje, a stihovi da budu prevedeni na kineski
Dubai je pustio u saobraćaj metro - prvi u nekoj od zemalja Perzijskog zaliva, čime je oborio još jedan svjetski rekord
NASA je najavila kako će ISS možda morati uključiti svoje raketne motore kako bi izbjegla sudar s komadom svemirskog otpada
Temperature na Arktiku posljednjih 2.000 godina nisu bile više nego što naučnici bilježe ovih dana
Otkriće čestica imunološkog sistema koje napadaju virus AIDS-a moglo bi konačno dovesti do vakcine koja će zaštiti ljude od ove infekcije
Elektronsko lizalo koje omogućava slijepim ljudima da "vide" koristeći svoj jezik najnoviji je izum naučnika
Gripa H1N1 predstavlja ozbiljnu zdravstvenu prijetnju SAD-u i potrebno je ubrzati proizvodnju cjepiva
U Velikoj Britaniji, gdje je prije više od 8 decenija počela epoha moderne televizije, sklopljen je poslednji TV aparat u fabrici u Plimuthu
Astronomi su otkrili planet u zviježđu Phoenix, oko 325 svjetlosnih godina udaljenom od Zemlje
Kineska velika panda bi mogla izumrijeti za samo dvije ili tri generacije
EU danas je objavila da će uložiti 18 miliona eura u sistem ultrabrzog interneta koji će biti osnova nove generacije mobilne telefonije
Švicarska je proširila svoju teritoriju na uštrb Italije zbog topljenja glečera u Alpima
Google je predstavio testnu verziju unaprijeđene mašine za pretraživanje interneta, kojoj su autori dali radno ime "Kofein"
Učitajte više sadržaja...